|
|
|
|
 |
| 矯正歯科・インプラント・審美歯科等は全て見積書と治療計画書を作成してご説明致します。 |
 |
保険診療を基本とします。 |
 |
なるべく歯を削らない、抜かない、痛くない、長持ちする治療を目指します。 |
 |
5年先、10年先、20年先を見据えた予防治療を行います。 |
|
|
 |
|
・一般歯科 ・小児歯科 ・矯正歯科 ・インプラント
・審美歯科 ・ホワイトニング |
|
|
|
|
|
|
 |
|
|
|
なぜ歯周病になるのでしょうか?歯周病も虫歯と同じ感染症です。
歯周病は特殊な細菌により引き起こされています。その細菌を媒介するのがプラーク(歯垢)です。ですから歯の周りにこのプラークが付いていないこと、あるいは歯石がついていないことが歯周病を起こさないためには重要です。
プラークは歯ブラシで落とすことが出来ますが、歯石は石のように硬く、また歯や根にしっかりとこびりついている為、歯ブラシでは落とすことができません。そのため、歯石を取るためには特殊な器具、装置が必要です。
この歯周病を予防するために当院ではPMTCを行っています。
>>PMTCの相談 |
|
|
|
|
|
|
|
 |
|
|
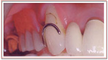
歯周病などで歯槽骨を失ってしまった場合、歯槽骨の再生治療を行います。
右の症例は一見健康そうに見えますが、歯根を支えている歯槽骨がクサビ状に溶けているための歯槽骨再生治療です。
この他にも歯抜などで失ってしまった歯槽骨の再生治療をインプラントのために行ったりします。
骨移植、骨補填財。特殊なタンパク質(エムドゲイン)、コラーゲン膜などを使用します。
>>再生骨治療相談 |
 |
 |
| この部位の歯槽骨がなくなっています |
歯肉を切開剥離します。 |
 |
 |
| 骨が溶けて陥没しているところに、エムドゲインという特殊なタンパクを填入します。 |
歯肉を縫合して元に戻します。 |
|
|
|
|
|
 |
|
|
|
| ■インプラント治療とは? |
 |
|
歯を失ってしまったとき、人工の歯根であるチタンのインプラント体を顎の骨の中に埋め、それを支柱にして人工歯などを付け、お口の機能をアップする治療方法です。
|
| >>インプラント治療相談 |
|
|
気にせず食事ができますので、今まで食べづらくて避けていた食べ物も安心して食べることが可能となります。
私たちが日常生活を送るなかで、バランスの良い食事を、しっかり咬んで食べること、そして程良く咬みごたえのあるものを食べることは、健康を維持する上でとても重要なことです。 |
 |
|
|
| ■費用について |
| (例)骨がしっかりしている所に1本のインプラントをする場合 |
|
総額28万円+消費税(検査・手術・かぶせもの代含む)
CT撮影代が別途かかります。 |
|
|
|
現在入れ歯を使用されてる方、又は多数の歯がない方は、かぶせものの形などによりインプラントの本数を減らすことも可能ですので、詳しくは来院されてから説明致します。 |
|
|
| 当院では衛生面に考慮して、インプラント手術の日は、手術の2時間前より一般診療は中断し、インプラント手術のみに専念し、より良い環境になるよう努力しておりますので、ご安心下さい。 |
|
|
|
|
|
|
 |
|
|
ノンクラスプとは、金属のバネの無い入れ歯です。
歯を固定する装置と床の部分が同一素材で作ることができるため、シンプルで審美性に優れています。
 |
| 従来の金属を使用した入れ歯 |
 |
| ノンクラスプデンチャー |
|
| ・ |
入れ歯を使用していることが他人から見てもわかりにくい。 |
| ・ |
床の部分が薄く作れるため、装着感が良好。 |
| ・ |
固定する部分と床が一体のため、適合に優れ、入れ歯が安定してよく噛むことができます。また、食べ物が挟まったりもしません。 |
| ・ |
金属バネを使わないため、残っている歯を痛めることが少ない。 |
| ・ |
金属アレルギーの心配がありません。 |
| ・ |
破折に強く、割れたり折れたりしません。 |
|
|
>>ノンクラスプラデンチャー相談 |
|
|
|
|
 |
|
|
|
矯正歯科で大切なのがやはりカウンセリングです。
当院では歯科医師が直接患者様の話を聞き、相談しながら治療の進め方を提案してまいります。 |
|
|
|
| 現在の状況とご希望をゆっくりと相談しながらお聞きします。 |
| 内容 |
■矯正治療全般について
■抜歯・非抜歯の選択について
■治療完了までに必要な期間について
■矯正装置の種類について |
|
|
|
 |
|
|
矯正治療に向けて、レントゲンや口の中の写真をとります。
検査によって「今後どのような治療が必要か」をご説明し、患者様と一緒に考えご希望をお聞きして専門の立場でアドバイス致します。
この検査はカウセリングと同日に行うことも可能です。 |
| 内容 |
■レントゲン・口内写真・全体写真撮影
■模型作成
■機能検査 |
|
|
|
 |
|
|
検査の結果、今後の治療についてご説明いたします。
患者様の不安や不明な点についてお聞きし、説明をし、納得いただいた上で治療を開始していきます。
虫歯や歯周病の治療が優先される場合は、その治療を先に行うことになります。 |
| 内容 |
■治療方針・治療計画について
■必要な治療期間(見込み)について
■治療費用・支払い期間について |
|
|
|
 |
|
|
歯並びに合わせて矯正装置をつけます。
また、治療期間中のメンテナンスについてご説明致します。
その後は毎月1回程度通院いただき、歯の動きに合わせて装置を付け直していきます。
大切な事は「定期的な通院」のお約束を守って頂く事です。 |
| 矯正治療期間 |
1年半〜2年
(所要期間には個人差があります) |
|
|
|
| >>矯正歯科療相談 |
|
|
|
|
 |
|
|
|
 |
ホワイトニング・審美治療 |
|
 |
|
|
| ホワイトニングとは? |
般的に天然の歯を安全な薬剤を使用して白くする方法です。
ただし、かぶせ物や詰め物はホワイトニングでは白くなりません。 |
|
| 審美治療とは? |
『より美しく、自然な歯に』
変色した前歯や奥歯の金属など気になられている歯の咬む機能を修復するだけでなく、本来の自然な美しい歯のように修復する治療のことを言います。
一般的にはかぶせ物をセラミックなどの優れた材質で作り、希望の白さ・透明感・色調・形態などへ回復していきます。 |
|
| 大切なこと |
例えば、前歯を1本セラミックの差し歯でかぶせているのに、『ニコッ』と笑って、その歯1本だけ白く目立っていては審美治療ではありません。
本来、セラミックなどで作る意義としては保険適用のプラスチックでは不可能な部分を可能にするためです。
治療のゴールとしては、どの歯を治療したのか分からない位、周囲になじんだ状態にすることが重要となります。
セラミックが優れているのは見た目だけではなく、衛生面ももちろんのことで
す。 |
|
| 口元全体のイメージを変える方法としては? |
ニコッと笑って、口元に調和がとれていることが大切です。
口元に明るさや清潔感などを与える方法としては「白さ」だけでなく「透明感」も重要な要素となるので「透明感のある白い歯」にすることで口元全体のイメージだけでなく、お顔の表情も明るくなり、第一印象も変わってくるのではと思います。 |
|
| 治療したら終わり? |
| 治療したら終わりというのではなく |
|
| 自身が満足して気に入った |
 |
| 鏡を見るのが楽しい |
 |
| この状態を保ちたい |
 |
| 毎日の歯磨きも苦にならない |
 |
| 長くいい状態を維持できる |
 |
| 結果、全体の虫歯予防につながる |
|
|
|
| というプラスの連鎖が生まれてくることが大切だと思います。 |
|
|
|
|
| ティオン ホーム ウィズ |
〇ご自宅でできるホワイトニング |
 |
高濃度で効率よくスピードホワイトニング
過酸化水素6%(過酸化尿素に換算すると約17%)配合のホームホワイトニング材。高い有効成分濃度により、標準60分※×10日間で効果を得ることができます。
スピーディーさ重視の方やホワイトニング経験者(タッチアップ)の方におすすめです。
※GC ティオンホームウィズHPより引用 |
|
| >>ホワイトニング相談 |
|
|
|
|
|
 |
|
|
|
|
|
| PMTCとは |
: |
毎日、隅々まで磨いているつもりでも、どうしても歯ブラシの届きにくい所 汚れがたまりやすい所が出来てしまいます。
この部分のクリーニングを当医院では歯科医師が専門的な器械を使っています。これがPMTCです。
(PMTC:プロフェッショナル・メカニカル・トゥース・クリーニング)
PMTCには、虫歯予防や歯周病の予防や改善、歯質の強化とともに、歯の着色を除去し、光沢のあるきれいな歯を保つ、などの効果があります。痛みもなく早く終わります。
|
| PMTCの効果 |
: |
・バイオフィルムの破壊
1.菌の菌力を弱める→虫歯になりにくい口腔になる。
2.歯周病 ・ 歯肉炎の予防。
3.きれいな歯を保つ、口臭の予防。 |
|
※ |
バイオフィルムとはミュータンス菌などの細菌が集合体を作り、歯の表面に形成された膜をバイオフィルムといいます。 |
|
|
|
|
|
|
|